Početna
O nama
Usluge
3D snimanje
Dečija stomatologija
Dentalni turizam
Dentalni tim
Galerija
Kontakt
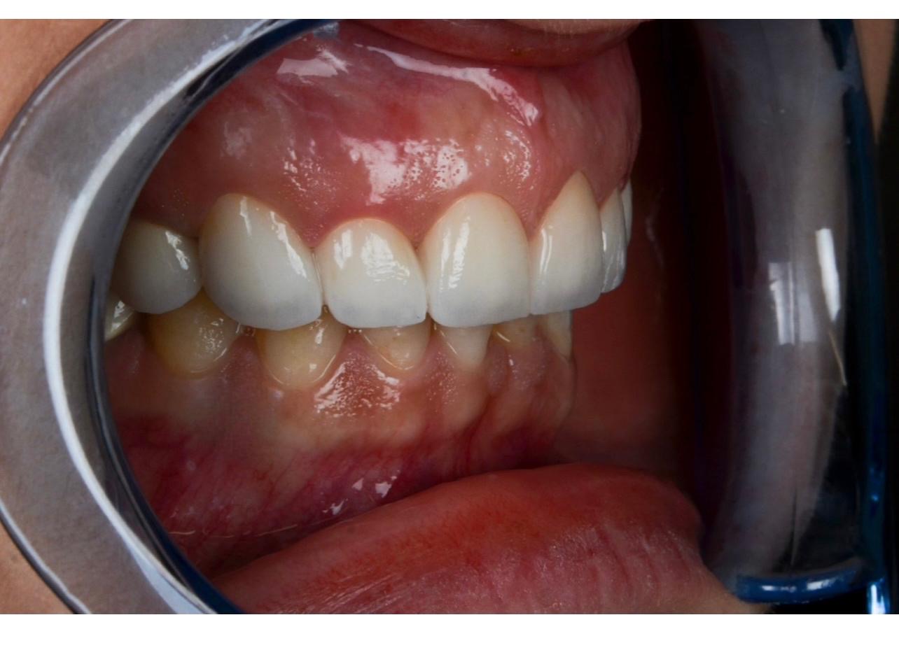
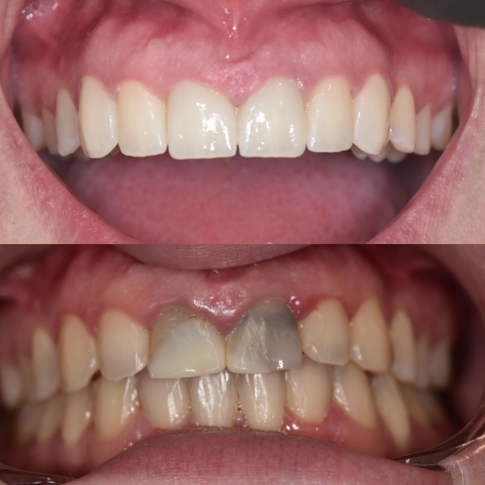
Galerija
Radovi